インプラント治療・ソケットリフトによるサイナスリフト
術前

元々この歯牙(写真ブリッジ除去しています)も含めたインプラント治療などの包括診療を当院で20
年くらい前に行わせていただき、その後もきちんと定期検診に来院いただき、何の問題もなかったので
すが、定期検診で5┛にサイナストラクトを担当歯科衛生士が発見、
お話を聞くと数日前から浮いたような感じ、噛むと違和感があり、ちょうど定期検診の時期でもあるの
でその時相談しようと思っていたとの事。
レントゲン写真には歯根先に何やら影が。
1年くらい前に撮影していたものには何も写っていませんでした。
状況から歯根破折と診断、同部の保存は難しく、同部を抜歯した場合ブリッジ治療は不可能であり、イ
ンプラント治療または入れ歯治療となることを説明しました。
患者さんは当院で相当前ですがインプラント治療を行わせていただき、快適に過ごされてきましたの
で、また、インプラント治療を選択されました。
7┛は保存、5┛抜歯、654┛インプラントブリッジ(64┛部にインプラント)、3┛保存という治
療計画です。
6┛部インプラント治療計画しましたが、術前のCT検査で骨の厚みが5mmしかなく、骨の移植が必要と
診断、今回はソケットリフトによる骨移植としました。
通常、5mm程度の骨があり、インプラントの初期固定が得られるならソケットリフトを用います。
それより骨が少ない場合はラテラル法によるサイナスリフトを行います。
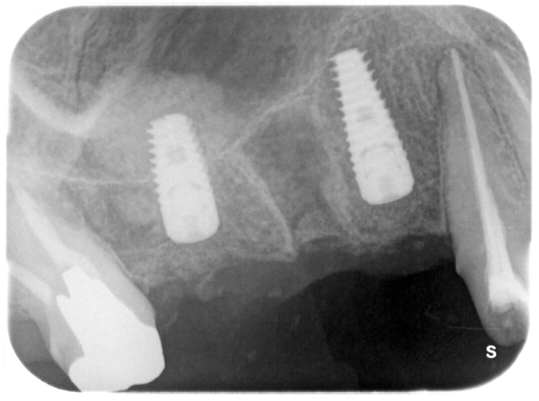
術中

左側インプラントの上の「雲」のようなものが移植した骨です。
右側のインプラントは上顎洞底ギリギリのところでストップさせています。
処置時間は40分程度です。
使用インプラントはプライムテーパー(スウェーデン)。
ソケットリフトを簡単な骨移植と考える歯科医もいますがそれは間違い。
なぜなら、全ての術式が直視できない手探りの状態で行う必要があり、「感」に頼る部分がほとんどであ
るからです。
また、仮に上顎洞粘膜(シュナイダー膜)に問題起きた場合、即座にラテラル法に切り替える必要ある
場合もあります。
(側面から骨に穴を開けて開裂したシュナイダー膜を顕微鏡下で縫合する必要ある場合も)
従いまして全ての術式に精通して経験豊富でないと行うべき処置ではありませんが、色々トラブルの話
は聞きますし、相談も少なからずあります。
かと言って骨がないからインプラントできないと自信の不勉強、スキルの低さを棚に上げて言い切って
しまう歯科医も困ったものですが、出来もしないことを無理に行ってまずい状況に陥るよりはマシかも
しれません。
どっちも患者さんはたまったものではないですが。
腹腔鏡、胸腔鏡、ロボット手術も通常の開腹、開胸手術できないものが行ってはいけないのと同じで
す。