セラミック矯正、、、、、、
忙しくてなかなか更新できません。
インスタの方が楽なので、、、、、、
さて、
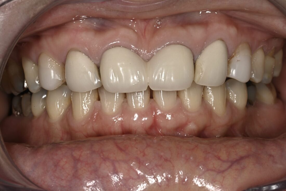
術前



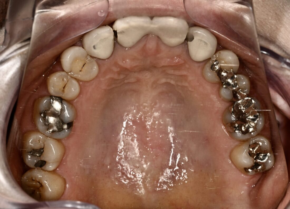
患者さんは元々上顎左右側切歯(2┛┗2)先天的欠如で隙間が開いている状態で、それが気になるということで、「セラミック矯正で有名」な歯科医院を受診、治療されたそうです。最初は隙間が無くなって満足されていた、、、、、というか、まあこんなものか、、、という感じだったらしいです。しかしながらご家族や周囲の方から歯が大きすぎるのではないかとの指摘を多数受け、気になりだしたので当院受診となりました。確かに私が考える「審美」には程遠い状態です。また、処置を始めるにあたり診査、診断を行ったところ他にも歯周病、根管治療、咬合など多数の問題がそのままであり、特に奥歯に関しては保存できない歯牙が多数ありましたが、前医では何の指摘もなかったそうです。現状ならびに治療計画を説明し、臼歯部は保存不可能な歯牙が多数あり、入れ歯もしくはインプラントによる治療が必要なこと、主訴である前歯に関しては矯正治療を組み入れないと審美的結果は得られないことを説明しました。
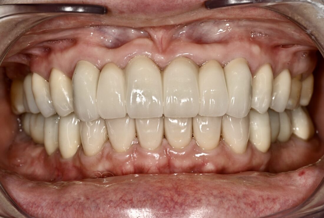
結局、全顎的治療=包括診療行うことに同意を得ました。
矯正治療は主にアライナーで行いました。
術後(3年・メインテナンス中)



どちらが良いか判断はお任せします。
時間もかかりましたが、患者さんは大変満足されています。
「セラミック矯正」なる専門用語は存在しません。強いていうなら補綴的(被せるもの)に歯牙の位置をかえ、審美的要求を達成することと言えるでしょうが、そのために無理に歯牙を削ったり、抜歯したりするようなことが多々行われているようです。また、本ケースもそうですが治療精度が著しく低く、治療というより破壊しているようなケースに多々遭遇します。適合の悪い、咬合が獲得できていない補綴物は短期間で問題発生します。また、前医は前歯の事しか頭にないのか、他分野の問題を認識し、それを解決する能力がないのか、非常にお粗末としか言えませんが、このようなケースはいっぱいあります。患者さん側の問題として、歯牙を抜歯、削ることを安易に考えている、後先のこと考えずとにかく前歯の見た目だけ改善すればいいとういうような考えの方がおられるのも事実です。セラミック矯正」を紹介する動画サイトを見ると、まるで便器のような真っ白なセラミックが入って喜んでいる患者がいますが、専門的に見ると明らかにおかしい、他のボロボロの歯牙はどうするの?というような場面をよく
見ます。最後は患者のリテラシー、自己責任と歯科医のスキル、いや、モラルの問題なのでしょうが。
この患者さんは自分が情弱だったと後悔されているのでハッキリ書きますが、情弱はいい鴨にされてま
す。
このような方、残念ながら多数おられます。
ネットで色々調べて情報に振り回され、余計に深みにハマります。
注意が必要です。
ハッキリ書きますが、医療、治療においてそんなにおいしい話はないです。
直ぐできる、安価にできる、簡単にできる、痛くない、○○実績一番、モニター価格、ネットでの自作
自演、謝礼を渡しての口コミ書き込み依頼、等々、客寄せは様々。
治療は医療行為ですから、科学的根拠を伴った精密なものでなければなりませんし、本質は治す事。
100%はあり得ませんが、可能な限り近づけるには知識、経験、スキル以外ないと考えます。
マイクロスコープだのCTだのも歯科医院の「売り」になっていますが、そんなものは治療するための道
具に過ぎず、使うのはあくまでも歯科医。
スキルがなければ宝の持ち腐れです。
以前から例え話として書いてますが、最高の食材、最高の調理器具を用いたなら誰でも最高の料理を作
れますかという事です。
こんな胡散臭いことやってるのは一部とはいえ、歯科と美容外科くらいではないでしょうか。
そこまで行って患者さん集めとは大変ですね。
患者さんも情報に振り回されるのではなく、自分のことなのpだから真剣になり、賢くなる事です。