破折ファイル片除去
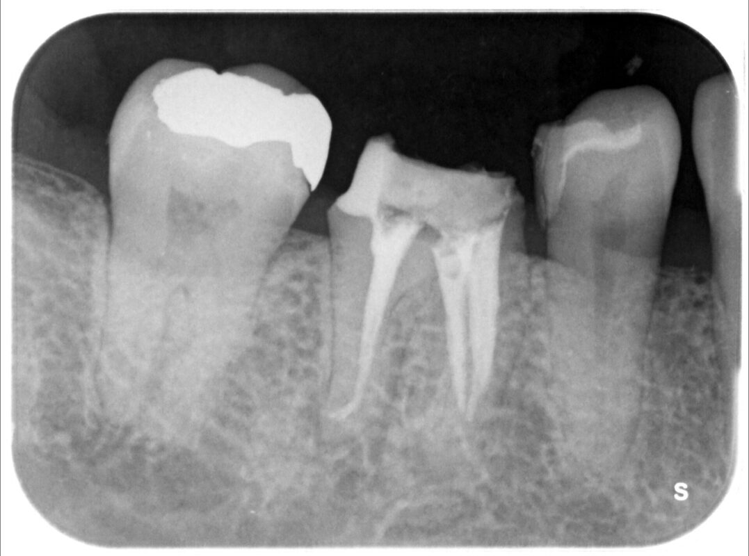
術前

症状はほとんどないのですが、他院で行われた比較的最近処置したセラミッククラウンの境目に段がで
きており、内部に穴が空き、黒く変色しているとのご相談。
前医では大丈夫ばかりで対応せず。
レントゲン写真を撮ると、、、、、、
正直、最初は私も気が付かなかったのですが、根管治療に使用されるファイルが折れてそのままになっ
ていました。
レントゲン的には2本折れていると思ったのですが、実は3本折れて残留していました。
前医での説明はなし。
ファイル破折が即問題を引き起こすとは限りませんが(使用ファイルが完全に滅菌されていたなら)、
無いに越したことありません。
あまりにも除去することに固執して歯牙自体をダメにしたなら本末転倒。
他院において無理したがための、そのような相談も一定数あるのですが、、、、、、
大まかにガッタパーチャを除去した状態です。

2時間以上かかって3本とも除去できました。
遠心根は先に根管充填終わっています。

破折ファイル除去に使用する器具の一部。

他にも多数の器具を使用します。
右の2本は超音波機器(スプラソン)に接続して使用します。
正直、2時間以上かかっていただく保険療費ではペイしませんので、症状がない場合は患者さんに説明
し、無理して除去は行いません。
この患者さんはこの歯牙は無論、矯正治療を含め全顎治療となるため行いました。
除去したファイル片。
あとの1本はサクションで吸入したため、写真はありません。

根管充填完了
