歯根破折歯の治療
痛いとの主訴で来院されました。
真横に割れています。
マイクロスコープでの拡大像。

正直、このような状況は抜歯せざるを得ないと思いますが、長期安定性は望めないけど、噛み合わせの
歯牙がなく入れ歯を使用されているため、患者さんと相談の上、一度保存を試みることとしました。
根管治療中。

根管充填後

コンポジットレジン充填後

内部にも充填して可能な限り接着しています。
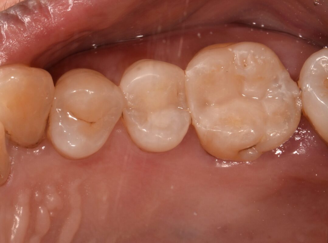
術後2年経過していますが、今のところ問題ないです。
Create Your Oral Design
痛いとの主訴で来院されました。
真横に割れています。
マイクロスコープでの拡大像。

正直、このような状況は抜歯せざるを得ないと思いますが、長期安定性は望めないけど、噛み合わせの
歯牙がなく入れ歯を使用されているため、患者さんと相談の上、一度保存を試みることとしました。
根管治療中。

根管充填後

コンポジットレジン充填後

内部にも充填して可能な限り接着しています。
術後2年経過していますが、今のところ問題ないです。