マイクロスコープを用いた根管治療、根尖切除

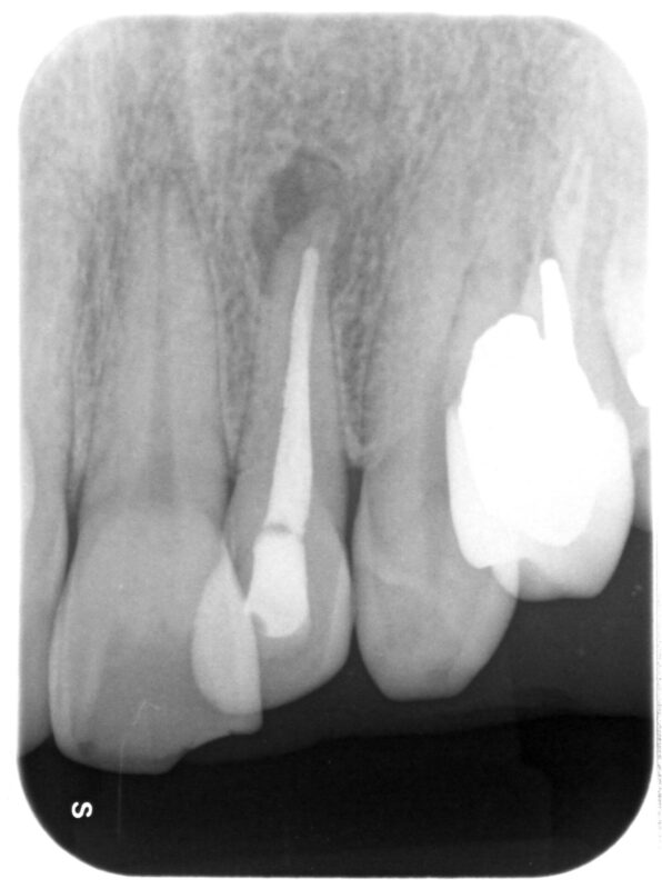
術前

歯根先端に影があります。

自覚症状はありませんが、サイナストラクト(絶えず歯肉を通して膿が出ています)が存在。

通常の根管治療を行いましたが改善しなかったので、マイクロスコープを用いて歯根先端を切除しまし

た。

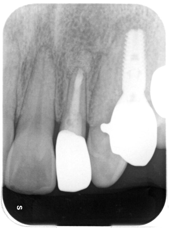
術後1年

綺麗に治っています。

右側、歯根破折を起こしていた歯牙にはインプラント治療を行っています。